In the heart of Orange County, CA, Hales Aesthetic is redefining smiles with the exceptional beauty and functionality of porcelain veneers. If you’ve ever felt self-conscious about your teeth because of chips, cracks, discoloration, or asymmetry, veneers may be your ideal solution.
What Are Porcelain Veneers?
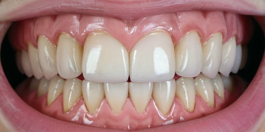
Porcelain veneers are ultra-thin shells crafted from high-quality porcelain that are custom-made to fit over the front surface of your teeth. They are an effective way to enhance your smile’s appearance while addressing various dental concerns. Here’s a closer look at some of the benefits of porcelain veneers in Orange County, CA.
Benefits of Porcelain Veneers
1. Addressing Dental Imperfections
Porcelain veneers are a fantastic option for individuals dealing with broken, chipped, or crooked teeth. The veneer process involves creating a perfectly shaped porcelain shell that blends seamlessly with your natural teeth, thus creating a smooth and flawless surface. Whether one tooth needs attention or several, veneers can restore the aesthetic integrity of your entire smile.
2. Stain Resistance for Lasting Brightness
One of the standout features of porcelain veneers is their remarkable stain resistance. Made from high-quality materials, these veneers maintain their vibrant appearance, making them an excellent choice for those seeking a long-lasting, low-maintenance solution for stained or discolored teeth. With veneers, you can enjoy a fresh and radiant smile without the worry of frequent touch-ups.
3. Symmetry and Balance in Smile Design
Symmetry plays a crucial role in the overall beauty of a smile. If you have concerns about an uneven tooth line or asymmetry, porcelain veneers can help create a more balanced and harmonious look. Our skilled cosmetic dentists at Hales Aesthetic carefully analyze your smile to ensure that your veneers enhance symmetry and contribute to a more aesthetically pleasing appearance.
4. Addressing Gum Issues
Veneers are also versatile in addressing various gum-related concerns. Whether you have a “toothy” smile due to gum recession or a “gummy” smile where gums are overly prominent, veneers can transform your appearance. They help create a more proportional smile, bringing a new level of confidence to your daily interactions
5. Relief from TMJ and Functional Problems
For many individuals, dental issues extend beyond aesthetics. If you suffer from TMJ disorders or other functional issues, porcelain veneers can help realign your bite and improve tooth function. By alleviating pressure imbalances, veneers can relieve muscle strain and help preserve the integrity of your teeth.
A Personalized Approach at Hales Aestheti
At Hales Aesthetic, we understand that every smile is unique. That’s why our porcelain veneers are meticulously created to enhance the specific features of your smile. From the color to the shape, size, and alignment, we prioritize your aesthetic desires while ensuring optimal tooth function.
Our dedicated team is here to support you through every step of your smile transformation journey. With our expertise and commitment to quality, we empower you to achieve the beautiful, confident smile you deserve.
Learn More About Porcelain Veneers Today
Porcelain veneers are more than just a cosmetic enhancement; they are a comprehensive solution to various dental imperfections. If you’re in Orange County and looking for a way to elevate your smile, visit Hales Aesthetic today. Discover how personalized porcelain veneers can help you reclaim your confidence and radiate positivity with every smile. Don’t let dental issues hold you back—transform your smile into a source of pride!
Contact Hales Aesthetic for a consultation and take the first step towards a vibrant, stunning smile.

